Dentiste Marrakech – Sourire, confiance et expertise
Marrakech Dental Center, dirigé par Dr Hind NADIM, vous accueille pour des soins dentaires esthétiques, implants, facettes et urgences dans un cadre moderne et rassurant.





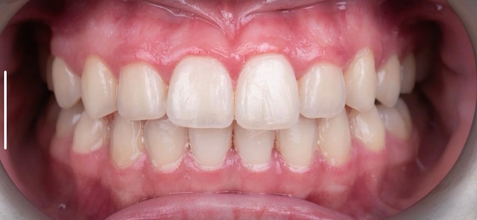
Traitements esthétiques & implants réalisés par le Dr Hind NADIM, dentiste de référence à Marrakech.
Conseils Dentaire Personnalisés
Prévention et hygiène pour garder un sourire sain et durable.
Urgences Dentaires 7j/7
Intervention rapide en cas de douleur ou de fracture dentaire.
Spécialiste en soins esthétiques, implantologie et orthodontie à Marrakech.
Traitements esthétiques, implants, facettes et urgences dentaires pris en charge avec succès.
Chirurgiens-dentistes, assistants et spécialistes sous la direction du Dr Hind NADIM.
Radiologie numérique, scanner 3D, blocs de soins confortables et hygiène irréprochable.
Votre Dentiste à Marrakech
Marrakech Dental Center

Une Clinique Dentaire Moderne À Marrakech
Dirigé par le Dr Hind NADIM, Marrakech Dental Center propose des soins dentaires haut de gamme à Marrakech : Hollywood Smile, facettes dentaires, implants, blanchiment professionnel, Invisalign et urgences 7j/7. Équipée de technologies avancées comme la radiologie 3D, notre clinique place votre santé bucco-dentaire au cœur de sa mission.
- Soins esthétiques & implants certifiés
- Confort, hygiène et suivi personnalisé
- Équipements de dernière génération
Nos spécialités
Des solutions de soins dentaires personnalisées à Marrakech
Nous nous engageons à offrir des soins dentaires à Marrakech de qualité, adaptés à chaque patient. Découvrez nos services spécialisés qui couvrent tous les aspects de la santé dentaire pour vous garantir un sourire sain et éclatant.
Soins Dentaires
Nous proposons une gamme complète de soins dentaires pour préserver votre santé bucco-dentaire. De la prévention à la gestion des problèmes dentaires, notre équipe est là pour vous accompagner.
Chirurgie Dentaire
Nos experts en chirurgie dentaire réalisent des interventions précises et sécurisées. Nous utilisons des technologies de pointe pour assurer votre confort et votre sécurité.
Orthodontie
Aligner vos dents et améliorer votre sourire grâce à nos traitements orthodontiques personnalisés pour les enfants et les adultes.
Prothèses Dentaires
Nous proposons des prothèses dentaires fixes et amovibles de haute qualité pour remplacer les dents manquantes, et améliorer votre sourire.
Implants Dentaires
Les implants dentaires sont une solution durable et efficace pour remplacer des dents manquantes. Nous vous offrons une consultation complète pour déterminer la meilleure option d'implantation.
Invisalign
Découvrez Invisalign, un traitement orthodontique discret et efficace. Utilisez des aligneurs transparents pour corriger vos dents sans les inconvénients des appareils traditionnels.
Blanchiment Dentaire
Ravivez l'éclat de votre sourire avec notre traitement de blanchiment dentaire. Nous utilisons des techniques sûres et efficaces pour éliminer les taches et redonner à vos dents leur blancheur naturelle.
Radiologie Dentaire
Nous utilisons des équipements de radiologie dentaire de pointe pour obtenir des images précises de vos dents et de votre mâchoire. Cela nous permet de diagnostiquer les problèmes dentaires.
How It Works
Votre parcours sourire en 3 étapes simples
Rendez-Vous
Contactez Marrakech Dental Center par téléphone ou WhatsApp pour consultation.
Consultation
Dr Hind NADIM évalue votre sourire et propose un plan de traitement adapté.
Traitement
Nous commençons vos soins dans un cadre professionnel et rassurant.
Qui Sommes-Nous ?
À la rencontre du Dr Hind Nadim, votre dentiste à Marrakech
Dans son centre dentaire à Marrakech, le Dr Hind Nadim et son équipe accueillent chaque patient dans un cadre chaleureux et rassurant, avec un seul objectif : redonner à chacun un sourire sain, éclatant et durable.
Faites le premier pas vers un sourire plus sain !
Notre clinique dentaire à Marrakech vous offre des soins de qualité pour toute la famille. Prenez rendez-vous dès maintenant pour découvrir nos services personnalisés



